فراغات كثيرة بين الاسنان وقاطع مفقود .. ما التحوّل المنتظر ؟
التحدي
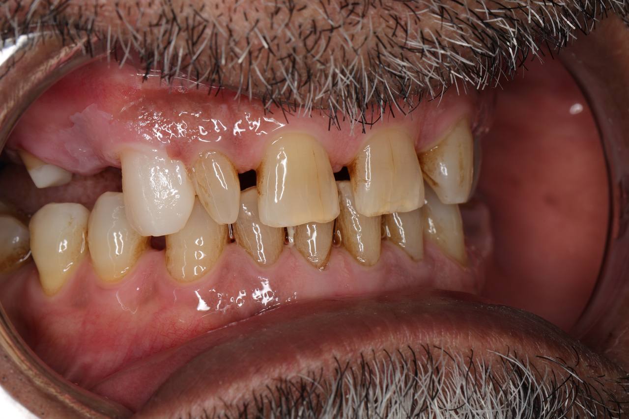
احمد خضير.. في بداية الخمسينيات من عمره, اختار دكتورة ميس من عيادات ريل كي تحل له مشاكله المتفاقمة في اسنانه.. فراغات كبيرة بين اسنانه الامامية, القاطع (اللاترال) الايسر غير موجود اساسا، تآكل في الاسنان الخلفية (العلوية)، اصفرار كبير وتصبغات في اسنانه العلوية والسفلية، عضّة عميقة ، تخلخل في المستوى الاطباقي.




اي طبيب متمكّن يكون معتاد في الغالب على معالجة هذا النوع من المشاكل فهذا عمله .. ولكن حينما يكون المراجع عصبي وعجول ويريد ان يرى النتيجة باسرع وقت وبأقل عدد ممكن من الزيارات, هنا يكمن التحدّي ويصبح الطبيب غير مستعد للمجازفة مع مختبر غير واثق بنتائجه .. تنعدم الاحتمالات وتصبح زيارات المراجع محسوبة .. كصاحب مختبر لن تعرف هذه التفاصيل من الطبيب لأنها لا ترتبط بالعمل بشكل مباشر ولكن استنتاجها يجعلك تفهم مقدار الـ STRESS الذي يشكّله هذا المراجع على الطبيب وبالتالي حينما تقدّم له حل فوق مستوى التوقعات تتضاعف ثقته بك اضعاف مضاعفة.. على كلا , نحتاج خطّة علاج محكمة ومحدودة الزيارات بدون التضحية بجودة النتيجة.. كيف خططنا للعمل ؟
منهجية العمل
اول خطوة يجب ان تؤخذ بنظر الاعتبار عند التعامل مع مريض غير صبور ومتشكك حول النتائج هو تصميم DSD (يجب ان تتم هذه الخطوة بسرعة ولذا صمّمنا الـ DSD في نفس اليوم وارساله للطبيب في اليوم التالي) , للـ DSD تأثير كبير على نفسية المراجع ، جميعنا متفقين على ان المراجعين لا يزورون طبيب الاسنان ولا يختاروه بالذات الا لرغبتهم برؤية التحوّل الذي سيحصلون عليه عند التعامل معه ولذا ، فأن عمل الDSD يعطيهم فكرة عمّا سيحصلون عليه بعد اكمال خطة العلاج .. وهذا بالتالي سيقلل من شكوكهم ويزيد ثقتهم يوجعلهم اكثر صبرا على النتائج ولذا.. الDSD كانت خطوة اساسية في رحلة مراجعنا احمد خضير.

هذا من جانب المراجع، من جانب الطبيب.. في مثل هكذا حالات معقدة جزئيا، تتطلب تحضيرا دقيق من حيث توزيع المسافات والاطوال ولذا يحتاج الطبيب Guidlines محددة يقوم بتحضير الاسنان على اساسها كيف تكون النتيجة النهائية ضمن حدود التوقعات (افضل طريقة لتوقّع المستقبل هو خلقه) ولذا قدّمنا تقريرا شاملا لدكتورة ميس (جزاها الله خيرا) واظهرت تعاونا واسعا من قبلها كي نصل الى التحضير المطلوب بالضبط وكانت هذه نتيجة التحضير.


ثانيا قمنا بتصميم الاسنان وفقا للـ DSD ووطباعة الاسنان المؤقتّة بعد ساعات من ارسال الطبعة الرقمية بعد التحضير، في التصاميم الاولية والمؤقتات تحتاج سرعة كبيرة في اتمام هذين الخطوتين للمراجع الذي تكون معظم اسنانه محضّرة، لأنه سيكره مظهره بهذا المشاكل + سيعاني من تحسس عالي للحرارة والبرودة كما انّك توّد ان تحصل على افضل Emergence Profile حول السن المحضّر كي تقوم بتهيئته للتراكيب النهائية كما انّك لن تهمل اهمية تضبيط الاطباق والمستوى الاطباقي، لذلك كان لزاما علينا في هذه الحالة ان نصمّم الابتسامة آخذين بنظر الاعتبار الـ Protrusion , Retrusion, Lateral Movements ولذا فأستخدام الـ Digital Articulater واجراء الـ Simulation لجميع الحركات المتوقعة هو اجراء لازم وضروري.



في هذه الخطوة، تحتاج ان تتأكد من ان الطبيب قد سجّل جميع ملاحظاته على طول الاسنان وعرضها، اشكالها وخطوط الانتقال فيها، حوافها السفلية وتطابقها مع اللثة، بروزها وانحناءاتها، كلاكما لا تملكان الوقت لأي تعديل كما ان الاعادة لا يجب اعتبارها خيارا مطروح من الاساس ( الا لو حدث خطأ خارج حدود قدرتكما على التحكّم) ولذا يجب ان تكونا دقيقان في تسجيل جميع الملاحظات على الاسنان المؤقتّة حتى تصلا الى نتيجة تحقق الابهار (تذكّر، نحن لا نطمح الى اسعاد المراجع فحسب.. نحن نطمح الى ابهاره، نطمح الى ان يكون الطبيب حاضرا في ذهن المراجع كلّما دار حديث حول اطباء الاسنان بينه وبين زملائه).
النتيجة







6 قشور ايماكس مع تركيبات الزركونيا (Layered) كانت كفيلة بأن تحدث هذا التحوّل في ابتسامة المراجع، من مراجع حاد المزاج، عصبي، عجول ومتشكك الى مراجع منبهر .. ثقته تضاعفت بطبيبته، هذا هو التحوّل الذي ننشده، تحوّل يتجاوز حدود الابتسامة الجميلة.


